Corpul neuronului preganglionar poate fi localizat in?
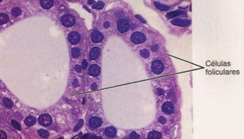
Dați exemplu de epiteliu glandular endocrin organizat în foliculi:

Istmul tiroidian
Anterior și inferior față de laringe
Denumirea IUPAC a compusului
este:
2,2 - dimetil-propan

Este alcătuită din mai multe celule și canalul de excreție nu este ramificat.
De unde provin hidrații de carbon?
Din aport exogen la nivelul tractului digestiv, unde are loc absorbția totală a hexozelor (glucoză, galactoză, fructoză) și pentoze (riboza, dezoxiriboza)
Cele capabile să recunoască și să atace antigenele străine
Cu cine comunica faringele ?
Care sunt manifestările mecanice ale ciclului cardiac?
Câți izomeri de poziție are 1-butina?
1 izomer de poziție de la 1- butină:

Care este compoziţia bilei ?
Toracele revine la dimensiunea inițială, iar plămânii se comprimă.
Prin joncțiunile gap din discurile intercalare, de la celulă la celulă
Care este originea reală a fibrelor gustative ale nervilor faciali?
Celulele cu activitate metabolică ridicată, deoarece au nevoie de mai mult oxigen
Ce este sarcomerul?
Unitatea morfofuncțională a miofibrilei, situată între două membrane Z

Fiecare genunchi dispune de două discuri cartilaginoase numite...
Meniscuri
Care sunt cele două subcategorii ale metabolismului?
Catabolismul și anabolismul.